みなさん突然ですが、自分の歯並びは気になっていませんか?
意外と口元にコンプレックスを持っている方は多いと思います。
私も、昔から自分の歯並びにコンプレックスがあり、「矯正してみたいな~」となんとなく考
えていましたが、遂に歯列矯正にて、歯並びの改善を行いました(*^^*)!!
歯並びの種類
不正咬合と呼ばれる歯並びには、いろいろな種類があります。
例えば、上顎前歯が下顎前歯よりも出っ歯のように前へ出てしまう「上顎前突」や
逆に上顎前歯よりも下顎前歯が前に出てしまう「下顎前突(受け口)」、
顎が小さく、歯が正常に生えるスペースが十分になく、歯が重なり合って生えてくる「乱杭歯(叢生)」、奥歯が嚙み合った状態で前歯が噛み合わず、
上下の前歯に隙間が開いてしまう「開咬(オープンバイト)」、
歯と歯の間に隙間が多く開いてしまうすきっ歯と呼ばれる「空隙歯列」、
奥歯を噛み合わせた時に上の前歯が下の前歯を覆って下の前歯が見えなく、
噛み合わせが深くなる「過蓋咬合」などです。
私自身は、特に、「前突」と「下顎の叢生」「過蓋咬合」が気になっていました。
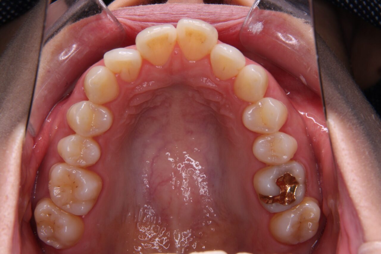
矯正治療前の歯列がこちらです↓↓↓



歯並びが悪くなる原因
そもそも、歯並びが悪くなる原因は、どういったところにあるのでしょうか?
遺伝的なものも原因としてありますが、
実は子供の頃からの日頃の生活習慣が原因として起こる場合も多いと言われています。
例えば、指しゃぶりや爪噛み、舌癖などです。
恐らく、私の場合は子供の頃に指しゃぶりをしていたことが原因なのでは…と思っています💦
歯列矯正の種類
そんな歯並びを改善する為の歯列矯正ですが、
大人の矯正の方法として、ゆめの森歯科では、
透明のマウスピースを1日20時間装着し、1週間~2週間に1回新しいマウスピースへ交換していく「インビザライン矯正」と、
自分では取り外しのできない金具を歯の表面や裏側に付け、
1ヶ月に1回程度、歯科医院で調整を行う「ブラケット矯正」があります。
私は、見た目も気にならない、比較的痛みも少ないと聞いていた、
インビザライン矯正を選択しました!
歯列矯正の流れ
まず、先生へ自分の気になっている所をお伝えし、
抜歯の可否やIPR(歯と歯の間にスペースを作るために、歯の一番外側のエナメル質を少し削ること)の可否の希望を伝えることで、
理想の矯正治療を相談します。
次に、歯科矯正では検査で口腔内のデータを採ることがとても大切で、
検査データを元に、分析を行います。
検査内容としては、口腔内写真、顔貌写真、パノラマ(全体の歯が写るレントゲン写真)、セファロ(頭蓋骨のレントゲン写真)、iTero(口腔内の歯型を正確に撮れる3D光学スキャナー)の撮影を行います。
インビザライン矯正では、iTeroで歯型を撮れるので、苦手な方の多い、粘土のような印象材を口の中に入れて数分我慢…(;´Д`)なんてことが必要ありません。
嘔吐反射が強い方には、結構しんどいですよね💦
でもiTeroではそんな辛い想いをせずに撮ることができました✨
しかも、撮ったデータをその場で確認することができ、
いろいろな角度で立体的に動かして見ることができるため、普段見たことがなかった自分の口の中をじっくりと見ることができます。
「私の歯って、こんな形してるんだ~」なんて、新たな発見も!
ゆめの森でも、矯正相談時に、ご自身のiTeroデータを確認していただきながらお話しをするのですが、お子さまから大人の方まで、ご自身の口の中を改めて見て、「すごーい!!」と感動する方がたくさんいらっしゃいます。
iTeroで撮ったデータは、その場で簡単なシュミレーションをすることで、矯正後の歯列のイメージを事前に確認することができます。
検査で様々な資料データを集め、大体の矯正にかかる期間やどんな流れで歯が動いていくのか
を実際にチェックした後、オッケーであれば遂にインビザライン矯正がスタートします。
(次回に続く・・・)