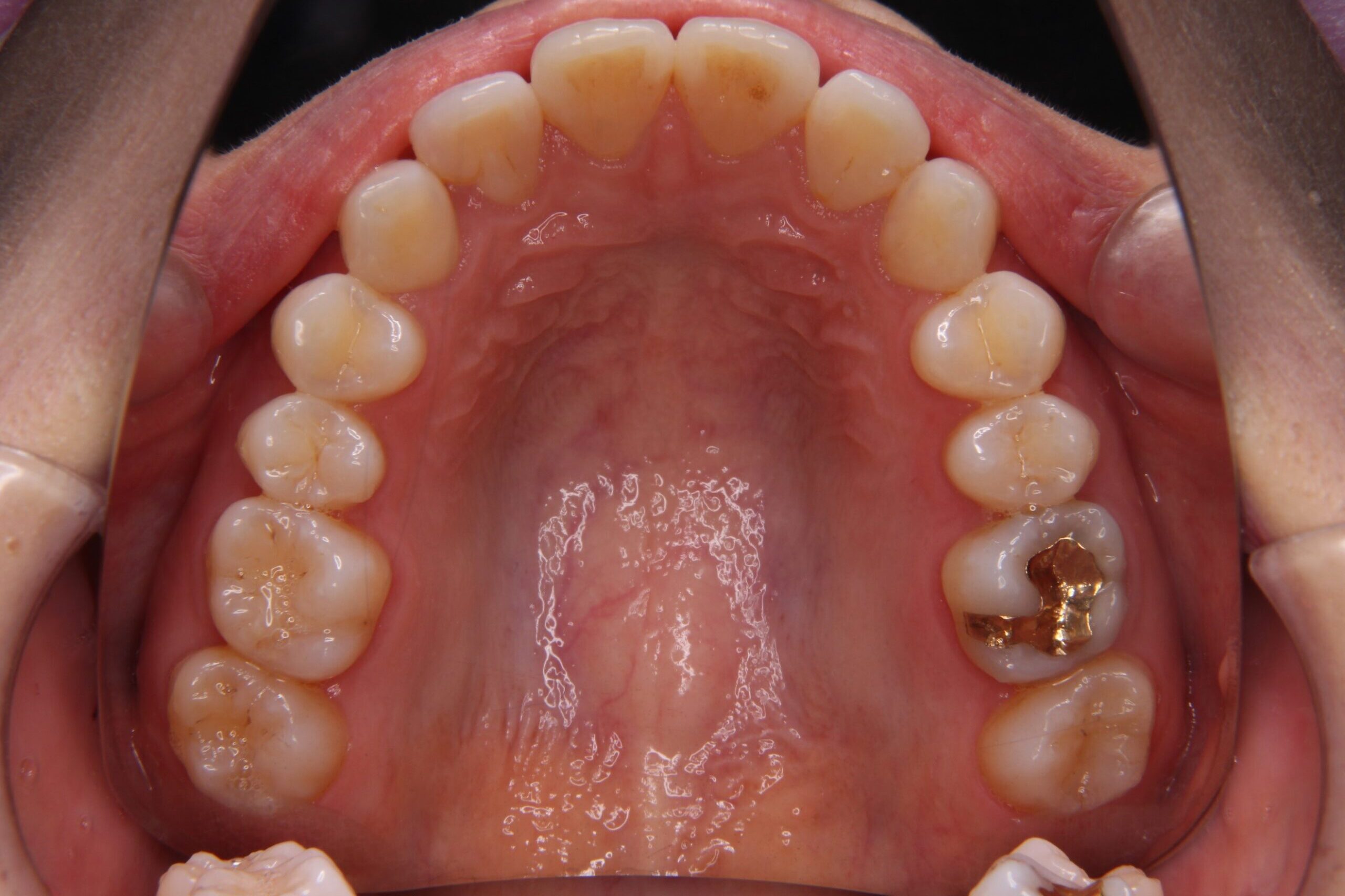
インビザライン矯正前
インビザライン矯正を実際にスタートするにあたり、まず行うこととして、アタッチメントと呼ばれる歯の表面にレジンの突起物を付けます。
これを付けることで、歯に加わる力を調整し、歯を効率的に動かすことができます。
アタッチメントには、実は様々な形状があり、歯を動かしたい場所や動かし方によって、形状、数、場所が変わってきます。
どこの場所にどのような形のアタッチメントを付けると、効率よく歯が動かせるのか、とても考えられているんです(*^^)v
しかも、白色なのでよく見ないと付いているのかもわからない程度で、
実際にアタッチメントを付けてもらうと、装着時はまったく痛みもなく、行うことができました!!
写真で見ると、こんな感じです↓↓↓

アタッチメントを付けたまま、マウスピースを装着するのですが、最初はこのマウスピースの着脱に苦労しました💦・・・が、何度か練習を行うと、スムーズに着脱ができるようになります✨✨
マウスピースを外すのに、どこに爪をかけると外しやすいのか、慣れたスタッフがしっかり教えてくれるので安心です♪♪♪
このマウスピースを1日20時間以上装着するのですが、食事中と歯磨き時以外は極力、長い時間装着しておきます。
インビザライン矯正のメリットは、食事中に取り外しができるため、虫歯リスクが高いと言われる歯列矯正でも、比較的虫歯のリスクを下げられることが私の中で魅力でもありました(*^^*)
歯並びが綺麗になるのに虫歯ができてしまうのは悲しいのですよね・・・😢
透明のマウスピースなので、入れたままお茶を飲んだりすると歯やマウスピース自体の着色に繋がるため、マウスピースを装着したまま飲むのはお水だけになりますが、ジュース等も飲む機会が減ったので、その点でも健康的になって良かったなと思えます💪✨
そして、食事後はしっかり歯磨きをしてから、マウスピースを再度装着します。
マウスピースは、1~2週間に1回、新しいものへ交換していきますが、新しいマウスピースへ交換するタイミングは、正直多少の痛みがあります・・・( ;∀;)の間にか慣れ、会話をしていても違和感を感じなくなっていました。
周りも、聞き取りにくいなどなかったようで、マウスピースも透明なので、矯正をしていることを伝えなければ、気付かれないレベルでした(^_-)-☆
マウスピース自体は1~2週間で交換しますが、毎日20時間以上装着しているので、汚れも気になり、着脱前にやわらかい歯ブラシを使って、水と少量の歯磨き粉で毎回洗浄をしていました。
1~2週間であれば、洗浄剤などに浸けなくても、汚れやにおいは気にならずに十分使用することができました。
1~2週間に1回マウスピースを交換するとなると、歯科医院への来院ペースも1~2週間に1回?!と思いがちですが、慣れてくると1ヶ月分の交換用マウスピースを先に渡されるので、自分で管理して交換すればOKです!
月に1回の来院では、装着したアタッチメントが外れていないか、マウスピースがしっかり隙間なく装着できているかをチェックします。
マウスピース矯正では、しっかりとマウスピースが装着できているかどうかがとても重要で、指で押し入れるだけではマウスピースが浮いてしまうことがあります。そのため、マウスピースを装着した状態で、「チューイー」と呼ばれるシリコン製で弾力のあるチューブを毎日5分程度噛んで、マウスピースが浮いてきてしまうことを防ぎ、歯とマウスピースをしっかりと密着させます。
こうした努力の成果があり、歯並びが徐々に改善していきます✨
そういえば、口が閉じやすくなった・・・と感じることや、写真を撮ると見た目の改善が良くわかります。
この改善が目に見えて感じられることが、歯列矯正のモチベーションにも変わりました!!
矯正の期間は、歯並びの状態や抜歯の有無等で個人差がありますが、私の場合は、1年弱で終了しました。
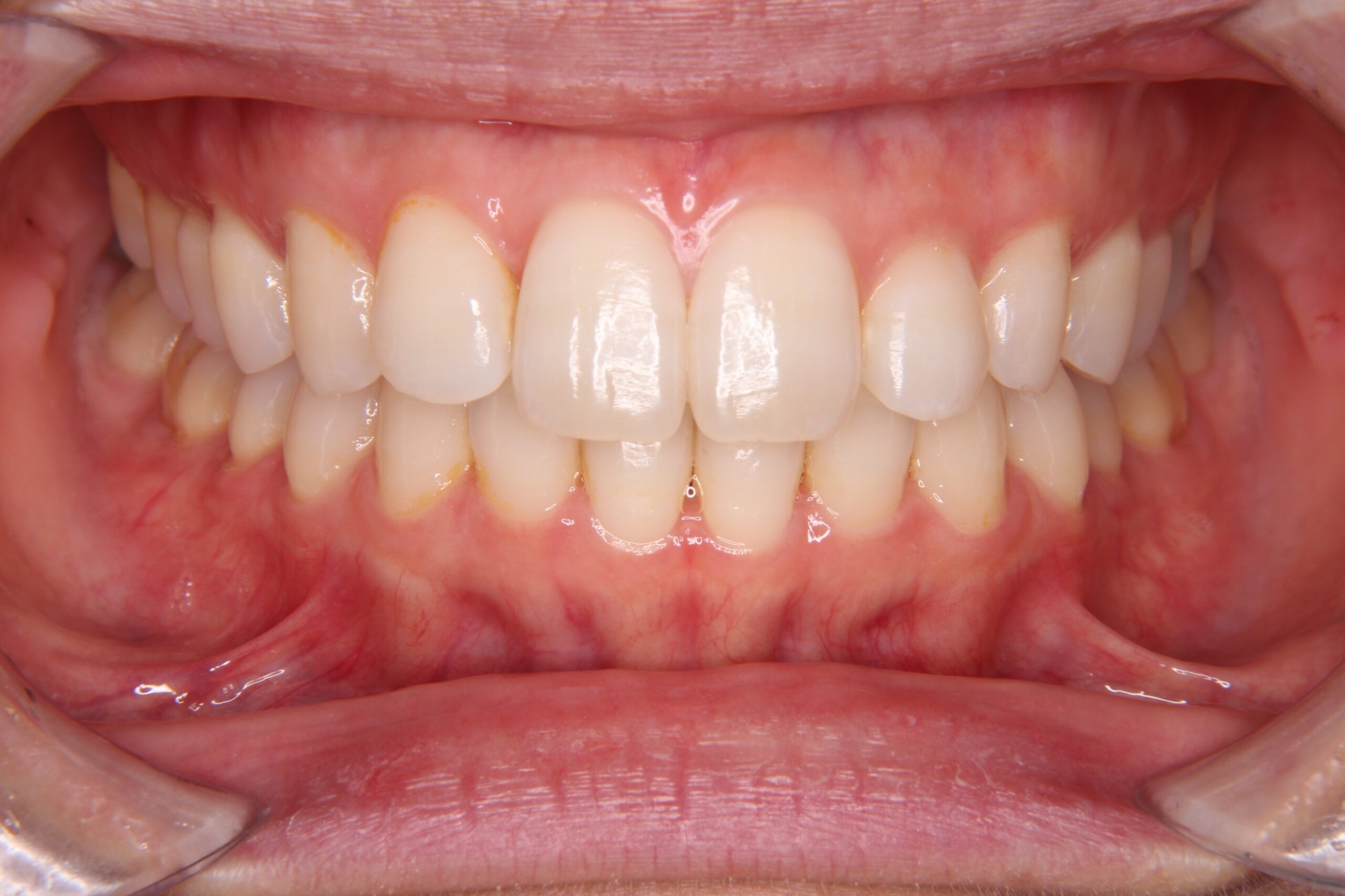
矯正後の歯列
矯正後の歯列がこちらです↓↓↓



私自身、矯正でコンプレックスだった歯並びの改善ができて、本当に良かったと思っています!
矯正をやりたいな~、でも勇気が出ない・・・なんて方も多いと思いますが、もし少しでも気になることがあれば、無料相談も行っているので、お気軽にゆめの森にもご相談にいらしてください(*^^*)